جرم دندان، سبب تحلیل لثه و لق شدن دندان ها می شود/ قبل از مسواک زدن، حتما نخ دندان استفاده شود
- بازدید: 211
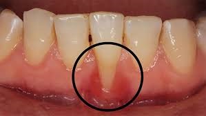
عضو هیات علمی و استادیار گروه پریودانتیکس دانشکده دندانپزشکی مشهد با بیان اینکه جرم دندانی، یکی از مهمترین دلایل تحلیل لثه و لق شدن دندان ها است افزود: توصیه میشود افراد قبل از مسواک زدن حتما نسبت به استفاده از نخ دندان، جهت خارج کردن ذرات مواد خوراکی از لابلای دندان ها اقدام کنند.
دکتر محمد گرایلی در گفتگو با وبدا، ضمن تاکید بر اهمیت و ضرورت رعایت اصول بهداشتی در راستای حفظ سلامت دهان و دندان گفت: با توجه به اینکه دندانها در مجاورت هم قرار دارند و اغلب در هنگام مسواک زدن لابلای دندانها به خوبی تمیز نمیشود، لازم است که حتماً قبل از شروع به مسواک زدن نخ دندان کشیده شود تا ذرات غذایی که در لابلای دندانها باقی مانده خارج شوند و بعد اقدام به مسواک زدن شود.
وی ادامه داد: برخی مراحعین که مشکل لثه یا پوسیدگی دندان دارند، وقتی از آنها سوال می کنیم که آیا مسواک میکنید؟ میگویند بله... ما روزی سه مرتبه مسواک میزنیم، اما نخ دندان نمیکشیم چون لثه ها دچار خونریزی میشود. این افراد مطلع نیستند که خونریزی لثه در واقع از ناشی از التهاب و عفونت لثه است که باید درمان شود و نه استفاده از نخ دندان.
دکتر گرایلی همچنین گفت: برخی افراد به اشتباه تصور میکنند که جرمگیری برای دندانها مضر است، اما حقیقت آن است که اگر جرمگیری درست و اصولی انجام شود، در طول عمر دندان ها بسیار کمککننده خواهد بود. ضمن اینکه اگر دندانی که جرم دارد، به موقع جرمگیری نشود، جرمها سبب تحلیل لثه میشود و دندان لق شده و یا از جای خود خارج میشود. این اتفاق همانند برداشتن خاک یک گیاه از اطراف ریشه است که سبب میشود گیاه از محل خود خارج شود. دهانشویه هم هرچند که یکی از ابزارهای تمیز کردن دندانهاست، اما اهمیت آن به اندازه مسواک و نخ دندان نیست.

